C10) Pre-Operative Evaluation

Review the Learning Outcomes, Hx, PE and Labs, and begin the module with your Provisional Diagnosis. Keep hitting "Next" to move through the module.

Learning Outcomes

  1. Articulate your relationship with the consulting diagnostic radiologists in the evaluation of a patient with an incidental finding.
  2. Identify the spectrum of imaging findings in appropriate modalities for evaluating patients with incidental findings.

History

Physical Exam

Labs

Provisional Diagnosis

Select the Dx you believe is most appropriate
The patient’s smoking history, chronic cough, and dyspnea on exertion suggest a diagnosis of COPD. The dyspnea on exertion and remote history of MI suggest congestive heart failure. The patient may also be deconditioned considering the lack of physical examination findings.
Well done. You were correct

Potential Acuity

What is your assessment of the likely acuity for this patient?

Well done. You were correct
The patient requires routine workup for their outpatient surgical procedure.

First Imaging Study

What is the first imaging study you will order?

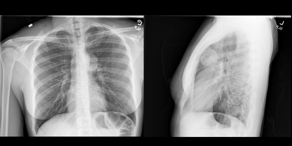
A chest X-ray may reveal sequelae of COPD like hyperinflated lungs with increased A-P diameter and those of heart failure like cardiomegaly, pulmonary edema, and pleural effusions
Well done. You were correct

Pertinent Imaging Observations

Click on the links below to view images from the study, and assess these key findings as best you can.

Watch our video

View the full study if you'd like to take a look yourself.

Second Imaging Study

What is the next imaging study you will order?

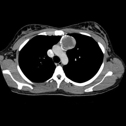
A chest CT can be used to further evaluate this soft tissue mass in the anterior mediastinum.
Well done. You were correct

Pertinent Imaging Observations

Click on the links below to view images from the study, and assess these key findings as best you can.

Watch our video

View the full study if you'd like to like a look yourself

Third Imaging Study

What is the next imaging study you will order?

The chest CT is sufficient for imaging workup to this point.

What is your Diagnosis now that you have seen the imaging results?

Teratoma, thymoma, and lymphoma are three common anterior mediastinal masses. A teratoma and thymoma are most likely considering the calcifications.

Current Acuity

Initially, you selected and we suggested acuity.

Has your concern for this patient changed?

This incidentally noted mass lesion requires routine evaluation.

Assessment and Plan

Please provide your assessment and plan for this patient

A 65-year-old male was incidentally found to have a heterogeneous, peripherally calcified mediastinal mass during pre-operative workup. We will consult thoracic surgery. The patient may require mass resection considering the heterogeneous features with imaging follow-up.

Lessons Learned: The most common anterior mediastinal masses in adults are teratoma, thyroid goiter, thymoma, and lymphoma.

Socioeconomic Factors:
- Indications for pre-operative chest radiography include suspected or pre-existing heart or lung conditions. Otherwise, pre-operative chest radiography should not be routinely performed in asymptomatic young or middle-aged patients undergoing surgery outside the thoracic cavity.
- It is important to carefully review all imaging regardless of indication. Early incidental detection can significantly improve outcomes.

That's the end of the module! Once you've reviewed the video(s), you can click here for another case challenge.

Contributors:
Kevin Pierre, MD - Editor
Robbie Slater, MD - Supervising Editor
Bayar Batmunh, MS - Coordinator

Next