C3) Military recruit with insiduous onset of respiratory symptoms

Review the Learning Outcomes, Hx, PE and Labs, and begin the module with your Provisional Diagnosis. Keep hitting "Next" to move through the module.

Learning Outcomes

  1. Articulate your relationship with the consulting diagnostic radiologists in the evaluation of a patient with fever and cough.
  2. Review the DDx considerations in fever and cough.
  3. Identify the spectrum of imaging findings in appropriate modalities for evaluating patients with fever and cough.

History

Physical Exam

Labs

Provisional Diagnosis

Select the Dx you believe is most appropriate
Mycoplasma pneumonia is the most likely diagnosis. The insidious onset of symptoms suggests an atypical pneumonia. The low hemoglobin levels may be secondary to cold autoimmune hemolytic anemia due to the mycoplasma infection.
Well done. You were correct

Potential Acuity

What is your assessment of the likely acuity for this patient?

Well done. You were correct
Though not immediately life-threatening, the patient requires further workup for their respiratory symptoms.

First Imaging Study

What is the first imaging study you will order?

A chest X-ray may evaluate for an atypical pneumonia.
Well done. You were correct

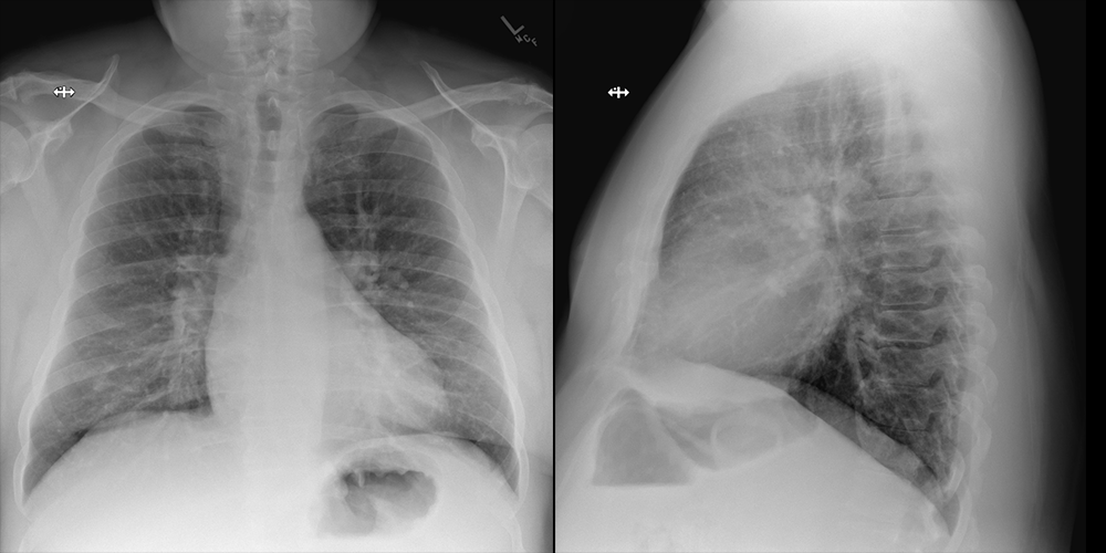
Pertinent Imaging Observations

Click on the links below to view images from the study, and assess these key findings as best you can.

Watch our video

View the full study if you'd like to take a look yourself.

What is your Diagnosis now that you have seen the imaging results?

The clinical and imaging findings are most consistent with atypical (mycoplasma) pneumonia.

Current Acuity

Initially, you selected and we suggested acuity.

Has your concern for this patient changed?

The patient will require outpatient antibiotic treatment.

Assessment and Plan

Please provide your assessment and plan for this patient

The patient is a young military recruit presenting with three weeks of worsening respiratory symptoms, low grade fever, and new onset anemia. Chest X-ray suggests an atypical pneumonia. The patient most likely has mycoplasma pneumonia. This can be definitively diagnosed with serology or PCR and treated with a macrolide antibiotic.

Lessons Learned:
(1) A patient with a long, insidious onset of respiratory symptoms should be suspected to present with “walking pneumonia” caused by mycoplasma pneumoniae.
(2) Mycoplasma pneumoniae is a bacterium without a cell wall not visualized on Gram stain but grows on Eaton’s agar. However, current diagnosis is often done with PCR and serology.
(3) Patients may present with hemolytic anemia from development of IgM cold agglutinins.

Socioeconomic Factors: There should be a high index of suspicion of atypical pneumonia from mycoplasma pneumonia in patients living in close quarters, like army recruits or students living in dormitories.

That's the end of the module! Once you've reviewed the video(s), you can click here for another case challenge.

Contributors:
Kevin Pierre, MD - Editor
Robbie Slater, MD - Supervising Editor
Bayar Batmunh, MS - Coordinator

Next