Temporal Bone and Skull Base Osteomyelitis
Temporal Bone and Skull Base Osteomyelitis
Search Pattern Assist ?History
Exam
MRI: Anatomically focused axial and coronal images through the temporal bone region, entire nasopharynx and posterior fossa including T1, T2 and diffusion weighted acquisitions done with and without gadolinium contrast enhancement and, when indicated, MRV.
Findings
Extracranial soft tissues
There is general or localized soft tissue swelling involving the pinna, periauricular soft tissues, parotid gland or subjacent masticator and parapharyngeal spaces on either side. [Yes/No]
There is general or localized soft tissue swelling involving the nasopharynx and/or the parapharyngeal, masticator, retropharyngeal and prevertebral spaces. [Yes/No]
There are localized fluid collections in the deep soft tissues involving the nasopharynx and/or the parapharyngeal, masticator, retropharyngeal and prevertebral spaces. [Yes/No]
General Skull Base
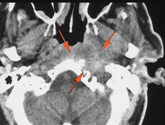
There are localized, potentially subperiosteal, fluid or pus collection spreading along the petrous apex inferior surface (mainly below the carotid canal) and/or clivus. [Yes/No]
The basisphenoid and basiocciput (clivus) and/or the petrous apex inferior surface (mainly below the carotid canal) is eroded and/or its marrow space infiltrated. [Yes/No]
The floor of the middle cranial fossa is eroded and/or its marrow space infiltrated. [Yes/No]
Cavernous sinus and Paracavernous Structures
There is abnormal enhancement and/or enlargement of cranial nerve 5 rootlets, ganglion or three divisions in the trigeminal cistern or paracavernous region. [Yes/No]
There is a structural abnormality along course of the fifth cranial nerve rootlets, ganglion and/or major divisions within and adjacent to the cavernous sinus. [Yes/No]
There is cavernous sinus thrombosis or a cavernous carotid segment inflammation, occlusion and/or aneurysm. [Yes/No]
Right Temporal Bone
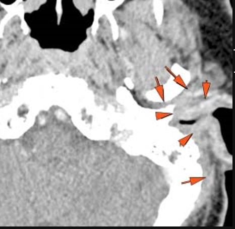
The external auditory canal shows abnormal soft tissue thickening. [Yes/No]
External auditory canal bone is eroded. [Yes/No]
The petrotympanic fissure is eroded. [Yes/No]
There is an erosive process, subperiosteal or otherwise spreading along the anterior-inferior aspect (extracranial aspect) of the petrous apex involving the bony Eustachian tube and/or carotid canal. [Yes/No]
The petrous apex is abnormal. [Yes/No]
There is middle ear or mastoid mucosal disease/fluid. [Yes/No]
The roof of the mastoid and middle ear are eroded. [Yes/No]
The mastoid septae are eroded. [Yes/No]
There is bone erosion along the outer margin of the mastoid portion of the temporal bone. [Yes/No]
The sigmoid plate of the mastoid is eroded. [Yes/No]
There are dural reactive changes or a subperiosteal/epidural abscess along the sigmoid plate of the mastoid displacing the adjacent sigmoid sinus. [Yes/No]
There is dural reactive change, subperiosteal, epidural or subdural abscess along the roof of the mastoid or middle ear or the superior and posterior (intracranial) surfaces of the petrous portion of the temporal bone. [Yes/No]
The ossicles, in particular the incus long process, the incudostapedial joint and stapes are eroded or displaced. [Yes/No]
The facial canal including the labyrinthine, tympanic and descending portions and nerve are abnormal. [Yes/No]
The inner ear, in particular the lateral semicircular canal and the cochlea are eroded or otherwise abnormal. [Yes/No]
Left Temporal Bone
The external auditory canal shows abnormal soft tissue thickening. [Yes/No]
External auditory canal bone is eroded. [Yes/No]
The petrotympanic fissure is eroded. [Yes/No]
There is an erosive process, subperiosteal or otherwise spreading along the anterior-inferior aspect (extracranial aspect) of the petrous apex involving the bony Eustachian tube and/or carotid canal. [Yes/No]
The petrous apex is abnormal. [Yes/No]
There is middle ear or mastoid mucosal disease/fluid. [Yes/No]
The roof of the mastoid and middle ear are eroded. [Yes/No]
The mastoid septae are eroded. [Yes/No]
There is bone erosion along the outer margin of the mastoid portion of the temporal bone. [Yes/No]
The sigmoid plate of the mastoid is eroded. [Yes/No]
There are dural reactive changes or a subperiosteal/epidural abscess along the sigmoid plate of the mastoid displacing the adjacent sigmoid sinus. [Yes/No]
There is dural reactive change, subperiosteal, epidural or subdural abscess along the roof of the mastoid or middle ear or the superior and posterior (intracranial) surfaces of the petrous portion of the temporal bone. [Yes/No]
The ossicles, in particular the incus long process, the incudostapedial joint and stapes are eroded or displaced. [Yes/No]
The facial canal including the labyrinthine, tympanic and descending portions and nerve are abnormal. [Yes/No]
The inner ear, in particular the lateral semicircular canal and the cochlea are eroded or otherwise abnormal. [Yes/No]
Intracranial
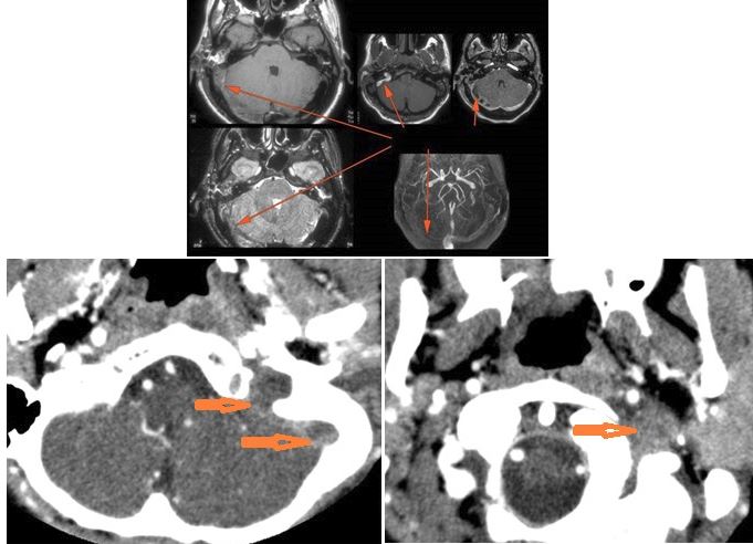
There is dural reactive or leptomeningeal enhancement involving the internal auditory canal and the 7th and 8th cranial nerves. [Yes/No]
There is dural reactive change along the floor of the middle cranial fossa or along the inner (intracranial) surfaces of the petrous portion of the temporal bone or clivus. [Yes/No]
There is a subperiosteal, subdural or epidural abscess along the floor of the middle cranial fossa or along the inner (intracranial) surfaces of the petrous portion of the temporal bone or tentorium or falx cerebri. [Yes/No]
There is likely meningitis involving the inferior temporal lobe or adjacent cerebellum or more remote meningeal sites. [Yes/No]
There is brain edema and/or evolving abscess present or, specifically, involving the inferior temporal lobe or adjacent cerebellum. [Yes/No]
There is evidence of thrombosis, thrombophlebitis or other occlusive or inflammatory process of the sigmoid sinus, transverse sinus, the vein of Labbe’ or jugular bulb or vein. [Yes/No]
There is inflammation of the distal internal carotid artery. [Yes/No]
There is obstructive hydrocephalus - either intra or extra ventricular or signs of raised intracranial pressure. [Yes/No]
Impression
Skull Base Osteomyelitis
-
Skull base osteomyelitis (SBO) related to necrotizing (“malignant”) otitis externa (NOE) as described above.
-
Skull base osteomyelitis (SBO) not related to necrotizing otitis externa (NOE) as described above.
-
The patient’s signs of infection are unlikely to be related to SBO, NOE or coalescent or otherwise complex otomastoiditis.
-
Petrous apicitis associated with middle ear and mastoid disease.
-
Petrous apicitis with an etiology other than associated with middle ear and mastoid disease.
-
Necrotizing otitis externa extent as described above.