Plain Film Evaluation of the Thoracic Spine
Plain Film Evaluation of the Thoracic Spine
Search Pattern Assist ?Exam
Prior Study
Findings
Technique:
The cervicothoracic junction and/or the thoracolumbar junction is/are not entirely included on the exam. [Yes/No]
The exam is over or under penetrated. [Yes/No]
The exam is limited by overlying structures, bones or soft tissues, patient positioning, support devices, or motion. [Yes/No]
Prevertebral and paravertebral soft tissues:
The prevertebral or paravertebral soft tissues are abnormal. [Yes/No]
The right or left paravertebral line is widened. [Yes/No]
Spinal alignment:
The vertebral bodies are abnormally aligned. [Yes/No]
The anterior and posterior vertebral body lines are abnormal or interrupted. [Yes/No]
The visualized spinous processes are malaligned or distracted on the AP and/or lateral view(s). [Yes/No]
There is exaggeration, reversal, or straightening of the normal kyphosis or there is scoliosis of the thoracic spine. [Yes/No]
Vertebral bodies, posterior elements and ribs:
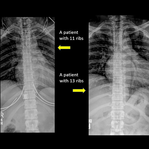
There are more or less than the expected 12 rib-bearing vertebral bodies. [Yes/No]
There are cervical ribs at the cervicothoracic junction, or hypoplastic or rudimentary ribs at the thoracolumbar junction. [Yes/No]
There is a fracture or distraction of a vertebral body, rib, transverse or spinous process, pedicle, or other posterior element. [Yes/No]
There is anterior wedging and/or compression of a vertebral body. [Yes/No]
There is an endplate avulsion, compression, or other fracture. [Yes/No]
There is displacement of a fracture fragment into the soft tissues or spinal canal. [Yes/No]
There is a lytic, sclerotic, or blastic lesion or erosion of a pedicle or other posterior element. [Yes/No]
There is evidence of a lytic, sclerotic, or blastic lesion, or disruption of the trabecular pattern of a vertebral body, end plate, or rib. [Yes/No]
There is focal or diffuse abnormal mineralization of the thoracic spine. [Yes/No]
Disc spaces, facet joints, and neural foramina:
There is distraction or focal widening of a disc space. [Yes/No]
There is disc space narrowing with or without erosive or sclerotic changes of the end plates or subchondral bone other than from degenerative change. [Yes/No]
There is anterior, lateral, or posterior spondylolisthesis, subluxation, or rotational abnormality at a disc space. [Yes/No]
There is widening, rotational abnormality, or displacement of facets at any motion segment. [Yes/No]
There is facet joint narrowing or sclerosis other than from degenerative change. [Yes/No]
There is narrowing or encroachment of a neural foramen other than from degenerative change. [Yes/No]
There are degenerative changes present that might explain the patient’s symptoms. [Yes/No]
Additional soft tissues and bones (included neck, chest, and abdomen):
There is abnormality of the soft tissues and bones of the included neck other than from degenerative change. [Yes/No]
There is abnormality of the soft tissues and included bones of the upper extremities, clavicles, and sternum other than from degenerative change. [Yes/No]
There is abnormality of the included lungs, mediastinum other than the previously evaluated paravertebral soft tissues, trachea and more distal airways, diaphragm, stomach, bowel, or bowel gas pattern. [Yes/No]
There is free intraperitoneal or retroperitoneal air, or other abnormal air in the included abdomen. [Yes/No]
There are vascular calcifications or other soft tissue calcifications present. [Yes/No]
There is a foreign body or there are post surgical changes of the bones or soft tissues of the included neck, thorax, or abdomen. [Yes/No]
There is an abnormality or complication of post surgical hardware/device. [Yes/No]
There are support lines or tubes in an abnormal position. [Yes/No]
Other findings:
There are other existing conditions that might be contributing to symptoms which can or should be further evaluated non-emergently. [Yes/No]