Pharyngeal, Neck and Facial Infections: Odontogenic, Buccal-Masticator, FOM Infections
Pharyngeal, Neck and Facial Infections: Odontogenic, Buccal-Masticator, FOM Infections
Search Pattern Assist ?History
Exam
Prior Study
Findings
Oral Cavity, Floor of the Mouth, Maxilla and Mandible
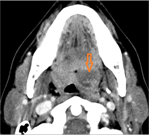
There is excessive enhancement or thickening of the fat or other soft tissues within or surrounding the buccal space, masticator space, floor of the mouth, submandibular space or the adjacent superficial fascia or subcutaneous fat and skin. [Yes/No]
There is subperiosteal abscess or an abscess cavity adjacent to or involving the maxilla or mandible. [Yes/No]
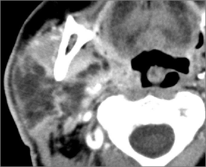
There is endodontal or periodontal disease that might be causing cellulitis or abscess. [Yes/No]
The lingual or buccal aspect of the maxilla is eroded. [Yes/No]
The lingual or buccal aspect of the mandible is eroded. [Yes/No]
There is edema or abscess within the fat of the adjacent parapharyngeal and retropharyngeal space. [Yes/No]
Oropharynx and Nasopharynx
There is excessive enhancement or thickening of the mucosa or hypertrophy of the pharyngeal, palatine or lingual tonsillar tissue or the lymphoid tissue along the glossotonsillar sulci and posterior pharyngeal wall. [Yes/No]
There is an abscess relatively centrally within the lymphoid tissue of the palatine tonsil. [Yes/No]
There is evidence of a developing abscess at the periphery of the lymphoid tissue of the palatine tonsil within the potential peritonsillar space. [Yes/No]
There is edema or abscess within the fat of the adjacent parapharyngeal and retropharyngeal space. [Yes/No]
Retropharyngeal Lymph Nodes
Major Salivary Glands
There is significant abnormality of the parotid, submandibular or sublingual glands that would be an alternative explanation for the patient’s symptoms. [Yes/No]
Hypopharynx, Larynx, Deep Neck and Entire Retropharyngeal Space
There is edema or abscess within in the hypopharynx, larynx or trachea. [Yes/No]
There is edema or abscess within the adjacent parapharyngeal and retropharyngeal spaces. [Yes/No]
Cervical Lymph Nodes
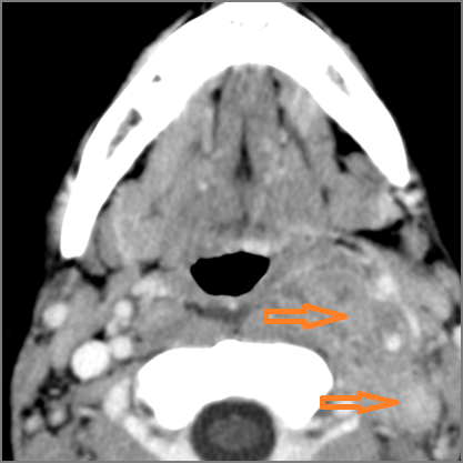
There is reactive cervical lymphadenopathy. [Yes/No]
There is suppurative cervical lymphadenopathy. [Yes/No]
If there is suppurative cervical adenopathy the purulent material outside the lymph node(s) capsule(s). [Yes/No]
Vascular Findings
There is evidence of thrombus, thrombophlebitis or other occlusive or inflammatory process of the jugular vein or smaller venous tributaries. [Yes/No]
There is evidence of thrombus, inflammation of the common, external or internal carotid artery. [Yes/No]
There is evidence of active extravasation or a contained leakage from an arterial source. [Yes/No]
Upper Lung Zones and Mediastinum
The upper lung zones and mediastinum visualized are abnormal. [Yes/No]
Other
Other significant abnormal findings are present. [Yes/No]
Impression
Odontogenic, Buccal-Masticator, FOM Infections
-
Odontogenic/masticator space/buccal space infection [with/without] abscess.
-
Pharyngitis or tonsillitis [with/without] abscess.
-
Other facial or neck cellulitis [with/without] abscess.