Maxillofacial Trauma: Basic Approach
Maxillofacial Trauma: Basic Approach
Search Pattern Assist ?History
Exam
Prior Study
Findings
Facial and Scalp Soft Tissues and Airway
There is localized edema, hematoma or abscess within in the facial or scalp soft tissues, SMAS, infratemporal fossa, masticator space or oral cavity. [Yes/No]
There is evidence of gas or a foreign body at a possible fracture site, indicative of an open or penetrating injury. [Yes/No]
There is soft tissue swelling suggesting injury to the parotid or submandibular glands. [Yes/No]
The upper airway is significantly narrowed or obstructed. [Yes/No]
Intracranial
There is subperiosteal, epidural or subdural hematoma and/or pneumocephalus along the boney walls of the anterior or middle cranial fossa or elsewhere. [Yes/No]
There is subarachnoid bleeding. [Yes/No]
There is evidence of parenchymal brain injury. [Yes/No]
Midface - Maxillary Region
There is evidence of a fluid collection or hematoma along the nasal septum or in the nasal cavity. [Yes/No]
The nasal septum is fractured. [Yes/No]
The nasal bones are fractured. [Yes/No]
The medial, lateral and posterior maxillary walls are fractured. [Yes/No]
The infraorbital rims and orbital process of the zygoma and/or frontozygomatic suture are fractured. [Yes/No]
The alveolar ridge, premaxilla, and/or the palatine process of the maxillary bones on either side are fractured. [Yes/No]
The hard palate is fractured. [Yes/No]
The pterygoid processes of the sphenoid bone are fractured. [Yes/No]
Fronto-Naso-Ethmoidal Complex
The mesial naso-orbito-ethmoid complex is fractured. Specifically, there is bony injury of the nasal bones or the frontal process of the maxilla and the medial walls of the orbit are abnormal. [Yes/No]
The intercanthal distance is increased. [Yes/No]
The nasolacrimal canal is fractured. [Yes/No]
There is injury of the ethmoid complex. Specifically, the ethmoid roof, olfactory fossa and the cribriform plate are fractured and/or significantly dehiscent. [Yes/No]
The frontal bone and frontal sinus inner and outer tables are fractured. [Yes/No]
Zygomatico-Orbital Region and Globes
The the zygomatic arch, frontozygomatic suture or infraorbital rim are fractured. [Yes/No]
The lateral wall of the orbit is fractured. [Yes/No]
There is fracture of the greater or lesser wing of the sphenoid bone, optic strut and canal, or basisphenoid, in the region of the orbital apex. [Yes/No]
The circumferential extraconal and the intraconal orbital fat are edematous. [Yes/No]
There is evidence of a subperiosteal hematoma along the medial wall, roof or floor of the orbit. [Yes/No]
The orbital apex and the superior and inferior orbital fissures are abnormal. [Yes/No]
The extraocular muscles are swollen. [Yes/No]
Proptosis is present. [Yes/No]
The optic nerve has a stretched appearance. [Yes/No]
The posterior aspect of the globe is tented. [Yes/No]
There is evident general optic sheath swelling or swelling at the junction of the globe and sheath to suggest an optic sheath hematoma. [Yes/No]
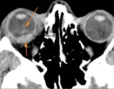
There is evident subretinal, subchoroidal or intravitreous hemorrhage. [Yes/No]
There is entrapment of the muscles of mastication by fractures of the coronoid process and/or zygomatic arch. [Yes/No]
Central Skull Base
There is fracture of the greater or lesser wing of the sphenoid bone or basisphenoid. [Yes/No]
Mandible and Temporomandibular Joints
There is bony injury or displacement of the body, angle, ramus, parasymphyseal region, alveolar ridge, and condylar and coronoid process of the mandible. [In case of fracture, describe complexity and displacement]. [Yes/No]
There is entrapment of the muscles of mastication or other soft tissues by fractures of the coronoid process and/or zygomatic arch. [Yes/No]
The condylar head and fossa as well as the temporomandibular joint space are abnormal. [Yes/No]
There is condylar fracture either within or outside of the joint capsule, or with or without involvement of the articular surface of the condylar head. [Yes/No]
There is evidence of radiodense intra-articular osteochondral fragments. [Yes/No]
There is bony injury or displacement of the external auditory canal and/or other evidence of temporal bone injury. [Yes/No]
Dentition
There are dental fractures and/or missing or displaced teeth. [Yes/No]
Cervical Spine
The visualized portions of the cervical spine are abnormal. [Yes/No]
Impression
Facial Trauma
-
Midface fracture [with/without] complications - extent described above.
-
Fronto- naso-ethmoidal complex [with/without] complications - extent described above.
-
Complex facial fracture [with/without] complications - extent described above.
Orbital
-
Orbital zygomatic and/or orbital blow out or blow in fracture [with/without] complications - extent described above.
Mandibular
-
Mandibular fracture [with/without] complications - extent described above.