Maxillofacial Trauma: Orbital
Maxillofacial Trauma: Orbital
Search Pattern Assist ?History
Exam
Prior Study
Findings
Facial and Scalp Soft Tissues and Airway
There is localized edema, hematoma or abscess within in the facial or scalp soft tissues, SMAS, infratemporal fossa, masticator space or oral cavity. [Yes/No]
There is evidence of gas or a foreign body at a possible fracture site, indicative of an open or penetrating injury. [Yes/No]
There is soft tissue swelling suggesting injury to the parotid or submandibular glands. [Yes/No]
The upper airway is significantly narrowed or obstructed. [Yes/No]
Intracranial
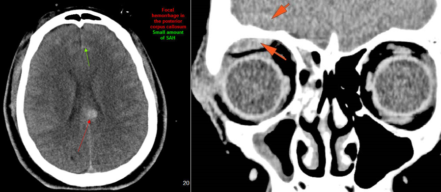
There is subperiosteal, epidural or subdural hematoma and/or pneumocephalus along the boney walls of the anterior or middle cranial fossa or elsewhere. [Yes/No]
There is subarachnoid bleeding. [Yes/No]
There is evidence of parenchymal brain injury. [Yes/No]
Orbits and Orbital Zygomatic Complex
The preseptal soft tissues including the lacrimal gland and sac are normal. [Yes/No]
There is evidence of a foreign body at the fracture site, indicative of penetrating injury. [Yes/No]
There is evidence of blood products in the paranasal sinuses. [Yes/No]
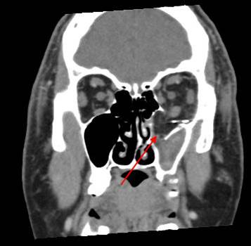
There is evidence of a subperiosteal hematoma along the medial or lateral wall, roof or floor of the orbit. [Yes/No]
The circumferential extraconal and the intraconal orbital fat are infiltrated. [Yes/No]
There is evidence of herniated intra-orbital fat. [Yes/No]
The extraocular muscles are swollen, infiltrated or herniated into a fracture site. [Yes/No]
The soft tissues of the orbital apex and the superior and inferior orbital fissures appear abnormal. [Yes/No]
The orbital veins appear abnormal. [Yes/No]
There is evidence of bony injury along the walls and/or floor of the orbit. [Yes/No]
The supraorbital and infraorbital rims and orbital process of the zygoma and/or frontozygomatic suture are fractured. [Yes/No]
There is bony injury of the orbital roof or related portions of the frontal bone. [Yes/No]
The infraorbital canal is fractured. [Yes/No]
The zygomatic arch is fractured. [Yes/No]
The optic strut and remainder of the optic canal and adjacent body and lesser wings of the sphenoid bone are fractured. [Yes/No]
There is entrapment of the muscles of mastication by fractures of the coronoid process and/or zygomatic arch. [Yes/No]
Central Skull Base
There is a fracture of the greater or lesser wing of the sphenoid bone or basisphenoid.
[Yes/No]
Eyes
Proptosis is present. [Yes/No]
The optic nerve has a stretched appearance. [Yes/No]
The posterior aspect of the globe is tented. [Yes/No]
There are signs of a decompressed globe. [Yes/No]
The lens is in normal position on either side. [Yes/No]
There is evident general optic sheath swelling or swelling at the junction of the globe and sheath to suggest an optic sheath hematoma. [Yes/No]
There is evident subretinal, subchoroidal or intravitreous hemorrhage. [Yes/No]
Nasolacrimal Canal and Sac
There is bony injury to the nasolacrimal canal. [Yes/No]
The nasolacrimal sac appears to be intact. [Yes/No]
Fronto-Naso-Ethmoidal Complex
The mesial naso-orbito-ethmoid complex is fractured. Specifically, there is bony injury of the nasal bones or the frontal process of the maxilla and the medial walls of the orbit are abnormal. [Yes/No]
The intercanthal distance is increased. [Yes/No]
There is injury of the ethmoid complex. Specifically, the ethmoid roof, olfactory fossa and the cribriform plate are fractured and/or significantly dehiscent. [Yes/No]
The frontal bone and frontal sinus inner and outer tables are fractured. [Yes/No]
Midface Structures and Mandible
There is bony injury of the body, alveolar ridge, premaxilla, the infraorbital rim, the palatine or the frontal process of the maxillary bones on either side. [Yes/No]
The pterygoid processes of the sphenoid bone are fractured. [Yes/No]
There is bony injury or displacement of the body, angle, ramus, alveolar ridge, condylar coronoid process and parasymphyseal or symphyseal region of the mandible.
[Yes/No]
Cervical Spine
The visualized portions of the cervical spine are abnormal for the patient’s age. [Yes/No]
Impression
Orbital
-
Orbital zygomatic fracture [with/without] complications - extent described above.
-
Orbital blow-out or blow-in fracture [with/without] complications - extent described above.
-
Complex facial fracture [with/without] complications - extent described above.