Sinonasal Complex Infections: Invasive Fungal Rhinosinusitis
Sinonasal Complex Infections: Invasive Fungal Rhinosinusitis
Search Pattern Assist ?History
Exam
MRI: Axial and coronal images through the sinonasal region including T1 and T2-weighted acquisitions done with and without gadolinium contrast enhancement.
Findings
Nasal Cavity and Nasolacrimal Canal and Sac
There is generalized or focal mucoperiosteal thickening in the nasal cavity. [Yes/No]
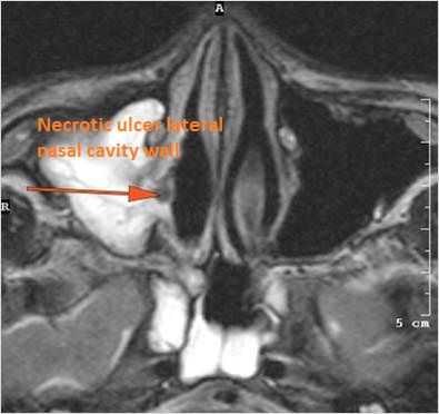
There is focal area of mucoperiosteal thickening or a destructive, ulcerative or necrotic abnormality of the nasal septum turbinates or lateral walls of the nasal cavity. [Yes/No]
There is infiltration of the fat surrounding the nasolacrimal sac either preseptal or postseptal. [Yes/No]
There is soft tissue infiltration or bone erosion along the nasolacrimal fossa or canal. [Yes/No]
There is infiltration in the posterior nasal cavity or sphenoethmoidal recess that is near to or protruding into the sphenopalatine foramen and pterygopalatine fossa. [Yes/No]
There is evidence of bone erosion along the face of the sphenoid bone or pterygoid base or processes. [Yes/No]
Sinuses
There is generalized mucoperiosteal thickening in the sinuses. [Yes/No]
There is evidence of bone erosion especially at the junction of the lacrimal and ethmoid bones and along the face of the sphenoid sinus. [Yes/No]
The fat planes in the canine fossa deep to the SMAS are infiltrated. [Yes/No]
The extraconal orbital fat surrounding the infraorbital vascular bundle is infiltrated. [Yes/No]
The orbital apex and the superior and inferior orbital fissures are infiltrated. [Yes/No]
The fat pad posterior to the maxillary sinus and within the pterygopalatine fossa are infiltrated. [Yes/No]
Nasopharynx
There is a deeply infiltrating, necrotic or ulcerative process of the nasopharynx. [Yes/No]
There is evidence of inflammatory changes within the parapharyngeal fat of the nasopharynx. [Yes/No]
Other Findings
The visualized portions of the brain are abnormal for the patient’s age. [Yes/No]
Impression
Invasive Fungal Rhinosinusitis
-
Based on imaging findings there is a substantial risk of invasive fungal rhinosinusitis.
-
Based on imaging findings there is minimal or no risk of invasive fungal rhinosinusitis.