Elbow: Pediatric Traumatic Acute
Elbow: Pediatric Traumatic Acute
Search Pattern Assist ?History
Exam
Prior Study
Findings
Image Quality
The lateral radiograph is obliquely imaged. [Yes/No]
Soft Tissues
Alignment
Osseous
The sequence of apophyseal ossification about the elbow is abnormal. [Yes/No]
The secondary ossification centers are abnormal in size, shape, or position. [Yes/No]
The physes are widened or irregular. [Yes/No]
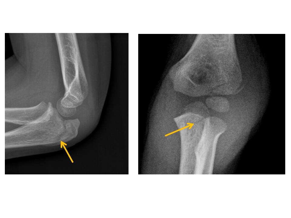
The proximal radius is fractured. [Yes/No]
The coronoid process is fractured. [Yes/No]
The olecranon process is fractured. [Yes/No]
The medial or lateral humeral condyles are fractured. [Yes/No]
Based on the mechanism of visualized injuries, there are additional subtle abnormalities. [Yes/No]
A marrow replacing osseous lesion is present. [Yes/No]
Impression
Acute Traumatic Pediatric Elbow Pain
-
Elbow fracture/malalignment.