Non Accidental Trauma MSK

Non Accidental Trauma MSK

Search Pattern Assist ?

History

Exam

Prior Study

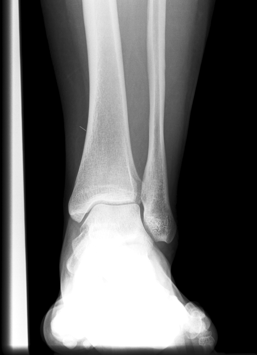
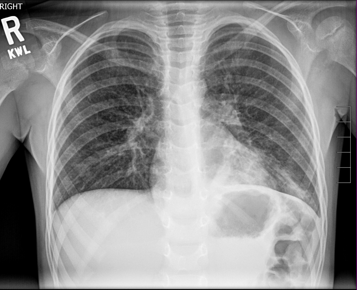
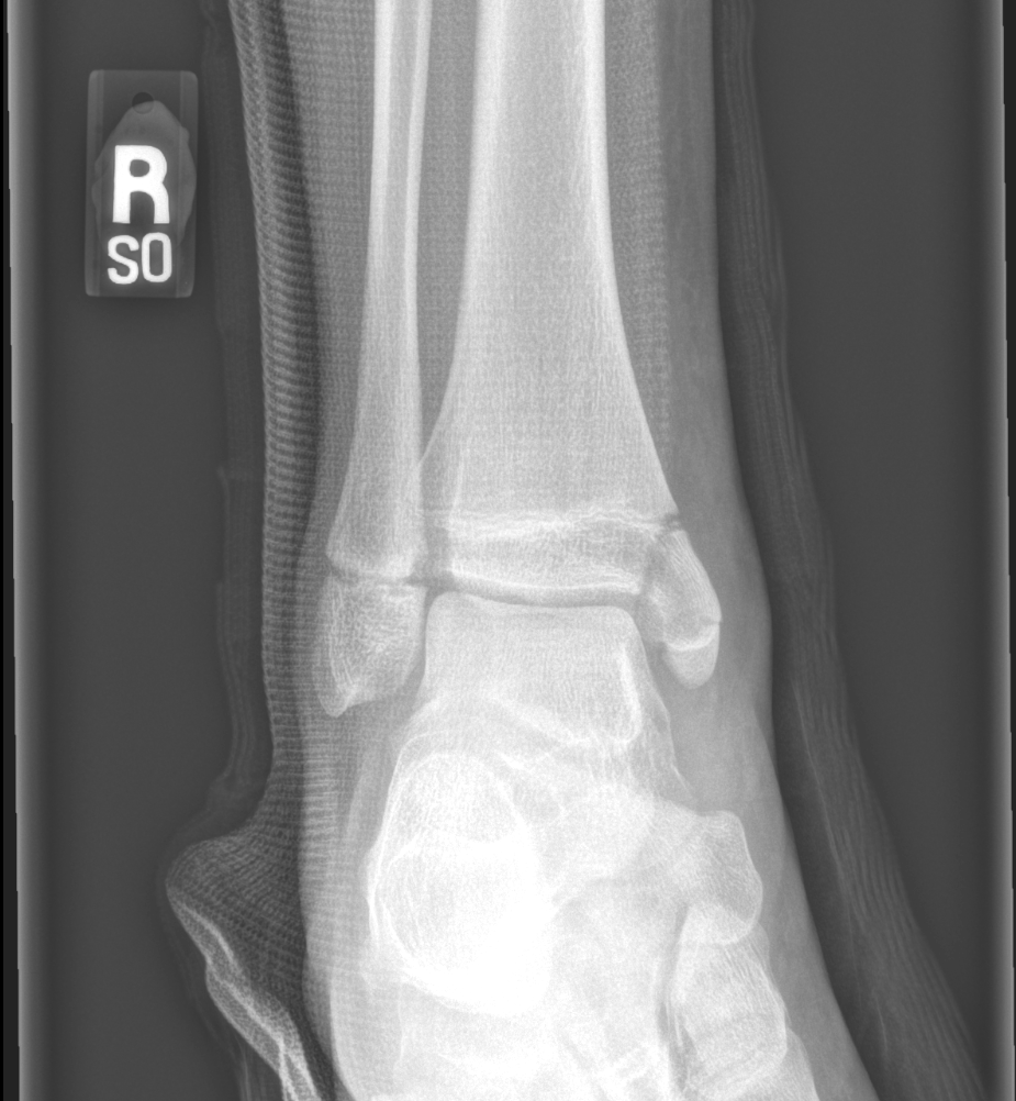
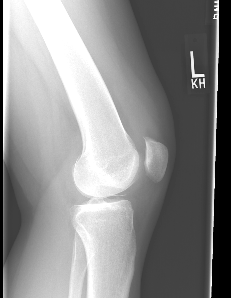
Findings

Skeletal Survey - Technique Check

Soft Tissues

Bone

Growth plates, ossification centers, apophyses

Joints and alignment

Other findings