C1) Fever, Cough, and Leukocytosis

Review the Learning Outcomes, Hx, PE and Labs, and begin the module with your Provisional Diagnosis. Keep hitting "Next" to move through the module.

Learning Outcomes

  1. Articulate your relationship with the consulting diagnostic radiologists in the evaluation of a patient with fever and cough.
  2. Review the DDx considerations in fever and cough.
  3. Identify the spectrum of imaging findings in appropriate modalities for evaluating patients with fever and cough.

History

Physical Exam

Labs

Provisional Diagnosis

Select the Dx you believe is most appropriate
Pneumonia is the most likely diagnosis considering the acute onset of symptoms, fever, leukocytosis, and localizing findings on physical exam.
Well done. You were correct

Potential Acuity

What is your assessment of the likely acuity for this patient?

Well done. You were correct
The patient meets criteria for sepsis and requires admission and source workup.

First Imaging Study

What is the first imaging study you will order?

A chest radiograph can confirm the presence of pneumonia and effectively rule out other less likely pathologies like pneumothorax. Furthermore, it can detect a parapneumonic effusion which may require drainage.
Well done. You were correct

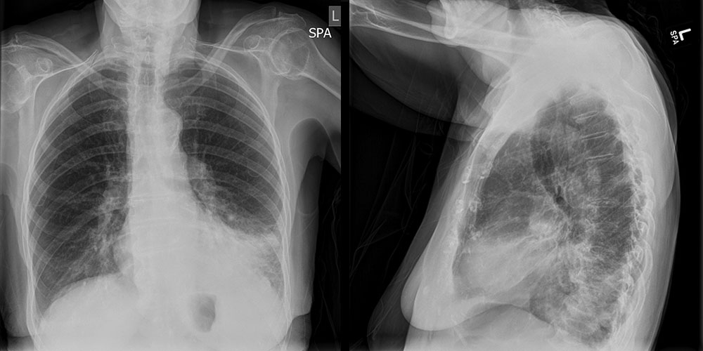
Pertinent Imaging Observations

Click on the links below to view images from the study, and assess these key findings as best you can.

Watch our video

View the full study if you'd like to take a look yourself.

Second Imaging Study

What is the next imaging study you will order?

Xray is sufficient for confirming pneumonia on imaging.
Well done. You were correct

What is your Diagnosis now that you have seen the imaging results?

The patient meets sepsis criteria secondary to hypotension, tachycardia, tachypnea, fever, and suspected source of infection of lobar pneumonia on X-ray.

Current Acuity

Initially, you selected and we suggested acuity.

Has your concern for this patient changed?

The patient meets criteria for sepsis secondary to their pneumonia and requires admission.

Assessment and Plan

Please provide your assessment and plan for this patient

Sepsis secondary to bacterial community acquired pneumonia. The patient will require admission for antibiotics, IV fluids, oxygen and further workup including blood and sputum cultures to narrow the antibiotic regimen.

Lessons Learned: Several imaging features support the diagnosis of lobar pneumonia. (1) Airspace opacities (fluffy infiltrates with indistinct margins), which represent alveoli filling with exudate. (2) Air bronchograms (dark, streaky lines within the opacified area), which represent bronchi made more visible by surrounding alveoli filled with exudate. (3) Silhouette sign, which occurs when the opacified lung becomes a similar density to the diaphragm, heart border, or mediastinum, making them invisible. (4) Spine sign; the spine normally becomes darker when viewed from the top to bottom on a lateral chest radiograph. When there is an overlying infiltrate, the spine will appear whiter.

Socioeconomic Factors: (1) In a patient with a similar presentation, some centers may elect to begin with a CT scan. However, a chest X-ray is more cost-effective and minimizes radiation exposure.(2) In this case, a follow up X-ray may be considered to follow for resolution if there is a concern that this is a post-obstructive pneumonia secondary to an endobronchial cancer. However, if the patient is unlikely to follow up, we should consider performing a CT scan prior to discharge.(3) If a younger patient without comorbidities presents similarly, we may treat more conservatively by sending them home with antibiotics and close clinical follow up.

That's the end of the module! Once you've reviewed the video(s), you can click here for another case challenge.

Contributors:
Kevin Pierre, MD - Editor
Robbie Slater, MD - Supervising Editor
Bayar Batmunh, MS - Coordinator

Next