C11) Burning retrosternal chest pain

Review the Learning Outcomes, Hx, PE and Labs, and begin the module with your Provisional Diagnosis. Keep hitting "Next" to move through the module.

Learning Outcomes

  1. Articulate your relationship with the consulting diagnostic radiologists in the evaluation of a patient with retrosternal chest pain.
  2. Review the DDx considerations in retrosternal chest pain.
  3. Identify the spectrum of imaging findings in appropriate modalities for evaluating patients with retrosternal chest pain.

History

Physical Exam

Labs

Provisional Diagnosis

Select the Dx you believe is most appropriate
GERD is the most likely diagnosis in this patient with retrosternal burning chest pain and laryngeal irritation (cough and wheezing).
Well done. You were correct

Potential Acuity

What is your assessment of the likely acuity for this patient?

Well done. You were correct
The patient requires further workup though their condition is not immediately life threatening.

First Imaging Study

What is the first imaging study you will order?

A chest X-ray is a good test to help rule out pulmonary causes.
Well done. You were correct

Pertinent Imaging Observations

Click on the links below to view images from the study, and assess these key findings as best you can.

Watch our video

View the full study if you'd like to take a look yourself.

Second Imaging Study

What is the next imaging study you will order?

A Chest CT can further evaluate this opacity.
Well done. You were correct

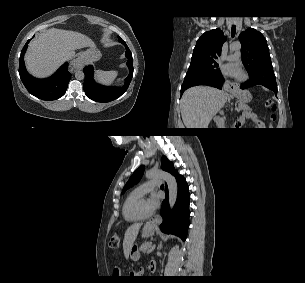
Pertinent Imaging Observations

Click on the links below to view images from the study, and assess these key findings as best you can.

Watch our video

View the full study if you'd like to like a look yourself

What is your Diagnosis now that you have seen the imaging results?

The patient has a sliding hernia considering the GE junction has moved above the esophagus. This is compared to a paraesophageal hernia, where part of the stomach or other organs herniate into the chest cavity.

Current Acuity

Initially, you selected and we suggested acuity.

Has your concern for this patient changed?

The patient requires further workup but is not at immediate risk for decompensation.

Assessment and Plan

Please provide your assessment and plan for this patient

This is a 55-year-old female presenting with GERD likely secondary to a sliding hernia noted on imaging. We will administer a proton pump inhibitor and consult surgery for further evaluation and management.

Lessons Learned: A hiatal hernia can mimick as a mediastinal mass or aortic aneurysm on chest x-ray.

Socioeconomic Factors: The diagnosis of GERD can be made clinically without the need for imaging. Patients with red flag signs or symptoms refractory to therapy should undergo endoscopic evaluation or imaging.

That's the end of the module! Once you've reviewed the video(s), you can click here for another case challenge.

Contributors:
Kevin Pierre, MD - Editor
Robbie Slater, MD - Supervising Editor
Bayar Batmunh, MS - Coordinator

Next