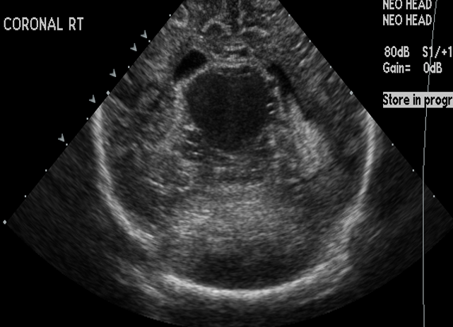
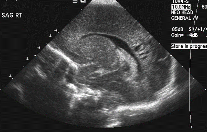
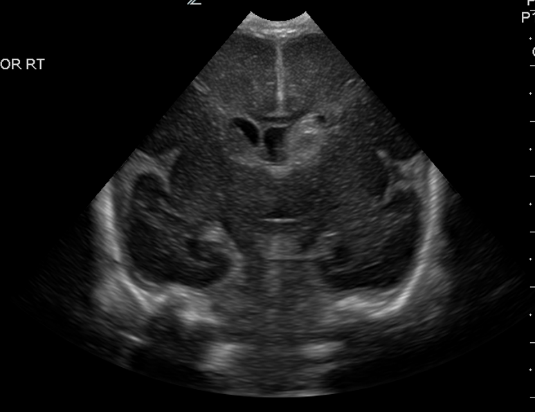
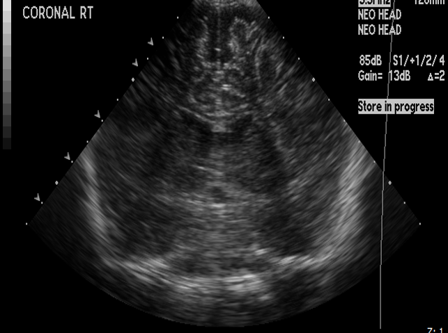
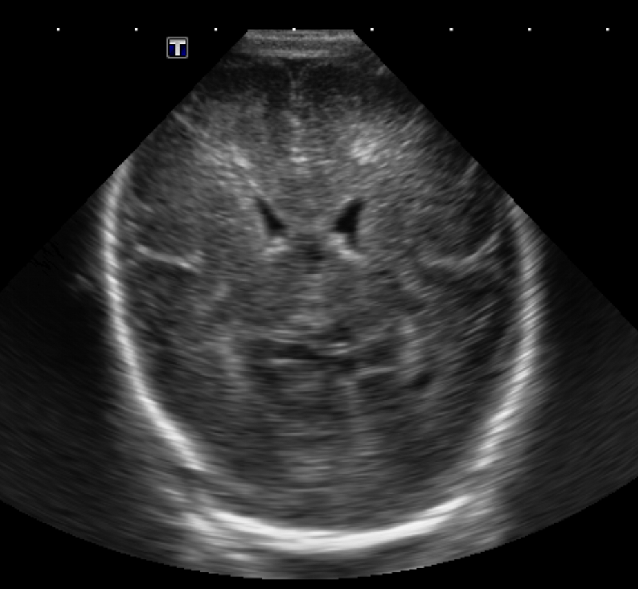
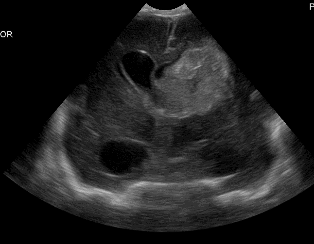
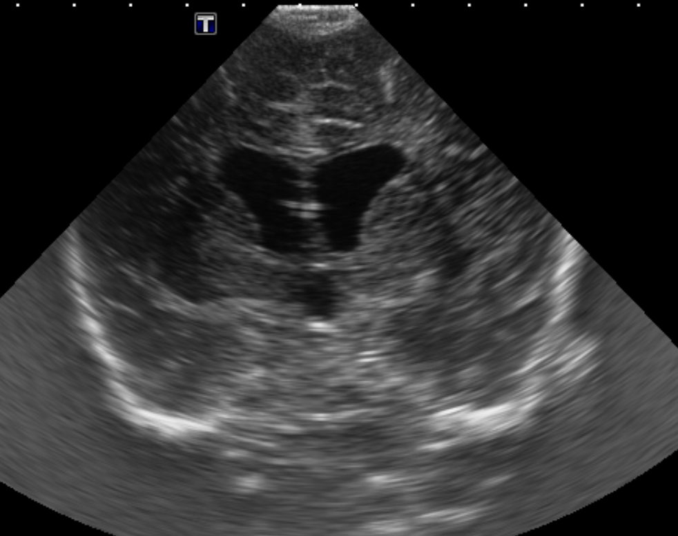
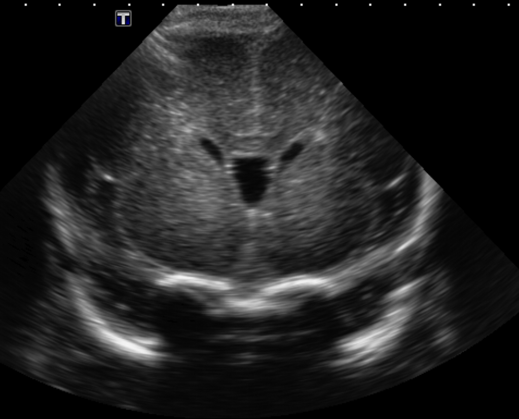
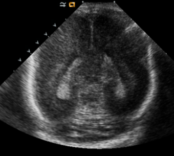
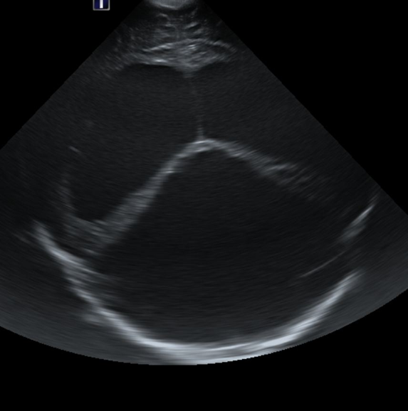
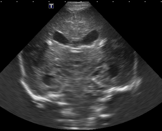
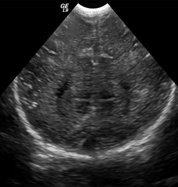
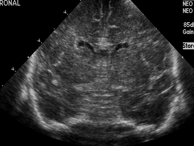
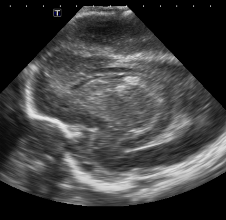
Info Images Findings Impression Reco/Acuity Case Images View Images / Launch Visage Case Notes History Full term infant. We are asked to evaluate posterior fossa cyst. Exam Gray scale and Doppler Ultrasonographic examination of the head. Prior Study N/A Dicom View Reference Material
Section 1 Submit Findings Case149 Findings Brain The brain is immature. Yes No There is under-sulcation and open sylvian fissures. Yes No There is/are multiple hypoechoic areas in the periventricular white matter. Yes No There is/are multiple hyperechoic areas in the periventricular white matter. Yes No There is diffuse cerebral edema with diffusely increased echogenicity of the brain parenchyma and loss of grey white matter differentiation. Yes No The thalami/basal ganglia are hypoechoic. Yes No There is periventricular calcification. Yes No There is intra-parenchymal calcification. Yes No CSF spaces/ventricular system There is a prominence of the extra axial fluid spaces. Yes No There are debris/septations in the extra axial fluid spaces. Yes No There are debris/septations in the ventricles. Yes No There is a subdural collection on the right/left side. Yes No There is prominence of the ventricular system. Yes No There is an asymmetry of the ventricular system. Yes No There is a cavum septum pellucidum. Yes No There is a midline shift towards right/left. Yes No The choroid plexus is bulky/lobulated. Yes No There is a choroid plexus cyst measuring… Yes No There are debris/clots in the occipital horn. Yes No There is a posterior fossa cyst measuring… Yes No The tentorium is elevated/depressed. Yes No The lateral ventricle/s are dilated. Yes No The third ventricle is dilated. Yes No The 4th ventricle is dilated. Yes No There are pseudo cysts. Yes No Germinal matrix hemorrhage (Only in the premature infants): Please do not answer if the patient is a full term. There is a germinal matrix hemorrhage, consistent with a grade I hemorrhage. Yes No There is an intraventricular extension consistent with a grade II hemorrhage. Yes No There is an intraventricular extension with the dilatation of ventricles, consistent with a grade III hemorrhage. Yes No There is an intra-parenchymal extension, consistent with grade IV hemorrhage. Yes No On color Doppler examination, the Resistive index in the anterior cerebral artery is… There is a loss of the diastolic flow on the Doppler exam. Yes No There is altered vascularity on Doppler imaging. Yes No There is an AVM in the region of… Yes No