Case Notes
History
52-year old male with fever, dysphagia and possible aggressive pharyngitis or other infrahyoid neck infections involving the infra hyoid deep neck.Exam
Prior Study
Dicom
Findings
| General | Correct Answer | Your Answer |
|---|---|---|
|
There is general or localized soft tissue swelling of the superficial or deep neck soft tissues. |
Yes | NA |
|
There is gas in the soft tissues. |
No | NA |
|
There is foreign body separate from or in areas of soft tissue swelling. |
No | NA |
| Nasopharynx Including Retropharyngeal Lymph Nodes | Correct Answer | Your Answer |
|---|---|---|
|
There is edema/abscess or likely suppurative retropharyngeal adenitis involving the nasopharynx or adjacent deep tissue spaces. |
No | NA |
| Oropharynx | Correct Answer | Your Answer |
|---|---|---|
|
There is edema/abscess tonsillar or otherwise or likely suppurative retropharyngeal adenitis involving the oropharynx or adjacent deep tissue spaces. |
Yes | NA |
| Oral Cavity, Floor of the Mouth, Maxilla and Mandible | Correct Answer | Your Answer |
|---|---|---|
|
There is edema/abscess within or surrounding the buccal space, masticator space, floor of the mouth, submandibular space or the adjacent superficial fascia or subcutaneous fat and skin. |
No | NA |
| Major Salivary Glands | Correct Answer | Your Answer |
|---|---|---|
|
The parotid, submandibular and sublingual glands are enlarged. |
No | NA |
|
The parotid, submandibular and sublingual glands do show abnormal enhancement. |
No | NA |
| Hypopharynx, Larynx, Deep Neck and Entire Retropharyngeal Space | Correct Answer | Your Answer |
|---|---|---|
|
There is edema/abscess arising from the hypopharynx, larynx, thyroid gland or trachea. |
Yes | NA |
|
There is edema/abscess within the adjacent deep neck, and/or retropharyngeal space. |
Yes | NA |
|
There is evidence of a branchial or other origin inflamed/ infected developmental cyst. |
No | NA |
| Prevertebral and Epidural Spaces | Correct Answer | Your Answer |
|---|---|---|
|
There is edema/abscess within in the prevertebral or paravertebral spaces. |
No | NA |
|
There is edema/abscess within in the epidural space. |
No | NA |
|
There is erosive process involving the disc spaces or other components of the spine. |
No | NA |
| Cervical Lymph Nodes | Correct Answer | Your Answer |
|---|---|---|
|
There is reactive cervical lymphadenopathy. |
No | NA |
|
|
No | NA |
|
If there is suppurative cervical adenopathy the purulent material outside the lymph node(s) capsule(s). |
No | NA |
| Vascular Findings | Correct Answer | Your Answer |
|---|---|---|
|
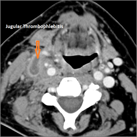
There is evidence of thrombus, thrombophlebitis or other occlusive or inflammatory process of the jugular vein or smaller jugular venous tributaries. |
No | NA |
|
There is evidence of thrombus, inflammation of the common, external or internal carotid artery. |
No | NA |
|
There is evidence of a contained leakage from an arterial source. |
No | NA |
|
There is evidence of active extravasation from an arterial or venous source. |
No | NA |
| Upper lung zones and mediastinum | Correct Answer | Your Answer |
|---|---|---|
|
The upper lung zones and mediastinum visualized are abnormal. |
No | NA |
| Other | Correct Answer | Your Answer |
|---|---|---|
|
Other significant abnormal findings are present. |
No | NA |
Impression
Expert Answer
Severe pharyngitis with no evidence of abscess