Case Notes
History
55-year old female in the emergency room with facial swelling on the right. Possible dental infection or parotiditis.Exam
Prior Study
NoneDicom
Findings
| General | Correct Answer | Your Answer |
|---|---|---|
|
There is excessive enhancement, edema and/or fluid collection involving the superficial fascia or subcutaneous fat and skin. |
Yes | NA |
|
There is excessive enhancement, edema and/or fluid collections within or surrounding the mandible/maxilla (dental or sinonasal related), pharynx, parapharyngeal space, buccal space, masticator space, floor of the mouth or neck that would be an alternate explanation for the patient’s symptoms. |
No | NA |
|
There is significant secondary airway encroachment present. |
No | NA |
| Parotid Glands | Correct Answer | Your Answer |
|---|---|---|
|
The parotid glands are enlarged and/or show abnormal enhancement. |
Yes | NA |
|
|
No | NA |
|
There is a developing abscess within the parotid gland. |
No | NA |
|
The parotid ducts and/or intraglandular ductal systems are dilated and/or with evidence of intraductal stones other causes of obstruction. |
Yes | NA |
|
There is edema (cellulitis) and/or abscess within the fat surrounding the parotid gland and/or of the masticator space or other adjacent spaces. |
Yes | NA |
|
The retromandibular and the facial veins are abnormal. |
Yes | NA |
|
There are abnormalities along the course of the facial nerve. |
No | NA |
|
The parotid, retromastoid, subocciptal and posterior neck lymph nodes are abnormal by imaging criteria. |
No | NA |
| Submandibular glands | Correct Answer | Your Answer |
|---|---|---|
|
The submandibular glands are enlarged and/or show abnormal enhancement. |
No | NA |
|
There are intraglandular submandibular cysts and/or sialocoeles. |
No | NA |
|
There is a developing abscess within the submandibular gland. |
No | NA |
|
The submandibular ducts and/or intraglandular ductal systems are dilated and/or with evidence of intraductal stones other causes of obstruction. |
Yes | NA |
|
There is edema (cellulitis) and/or abscess within the fat surrounding the submandibular gland and/or of the submandibular, sublingual or other adjacent spaces. |
Yes | NA |
|
The submandibular (Level 1) lymph nodes are abnormal by imaging criteria. |
No | NA |
| Sublingual glands | Correct Answer | Your Answer |
|---|---|---|
|
The sublingual glands are enlarged and/or show abnormal enhancement. |
No | NA |
|
There is edema or abscess within the sublingual space/floor of the mouth. |
No | NA |
| Other Lymph Node Groups | Correct Answer | Your Answer |
|---|---|---|
|
The other cervical (Levels 2-6), supraclavicular and/or retropharyngeal lymph nodes are abnormal by imaging criteria. |
No | NA |
| Other findings | Correct Answer | Your Answer |
|---|---|---|
|
The lacrimal glands are enlarged and/or enhance abnormally. |
No | NA |
|
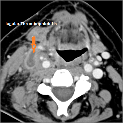
There is evidence of thrombus, thrombophlebitis or other occlusive or inflammatory process of the jugular vein or smaller venous tributaries. |
No | NA |
|
There is evidence of thrombus, inflammation of the common, external or internal carotid artery. |
No | NA |
|
There is evidence of active extravasation or a contained leakage from an arterial source. |
No | NA |
|
Other significant abnormal findings are present. |
No | NA |
Impression
Expert Answer
Sialoadenitis due to an obstructed glandular system without complications.