Case Notes
History
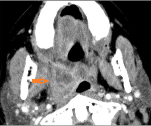
1-year old with fever, difficulties feeding and possible retropharyngeal abscess.Exam
Contrast-enhanced CT of the maxillofacial region and neck and related anatomy with images obtained in the balanced or venous vascular phase to ensure optimal visualization of both arterial and venous structures as well as possible reactive changes around infected collections. 0.5-3.0 mm thick sections were obtained in the axial plane and reformatted 3D and/or in the coronal and sagittal planes and viewed inter actively in 3 dimensions at the computer work station.