Section 1

Submit Findings

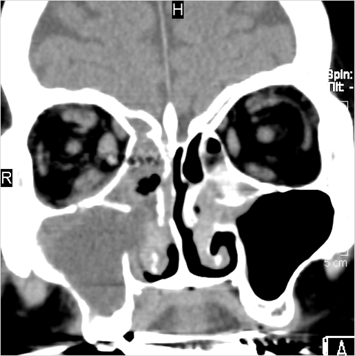
Case029

Findings

Nasal Cavity and Nasolacrimal Canal and Sac

There is generalized mucoperiosteal thickening in the nasal cavity.

There is focal area of mucoperiosteal thickening or a destructive, ulcerative or necrotic abnormality of the nasal septum, turbinates or lateral walls of the nasal cavity.

There is infiltration of the fat surrounding the nasolacrimal sac.

There is soft tissue infiltration or bone erosion along the nasolacrimal fossa or canal.

There is infiltration in the posterior nasal cavity or sphenoethmoidal recess that is near to or protruding into the sphenopalatine foramen and pterygopalatine fossa.

There is evidence of bone erosion along the face of the sphenoid bone or pterygoid base or processes.

Sinuses

There is mucoperiosteal thickening in the sinuses.

Nasopharynx

There is a deeply infiltrating, necrotic or ulcerative process of the nasopharynx.

There is evidence of inflammatory changes within the parapharyngeal fat of the nasopharynx.

Other Findings

The visualized portions of the brain are abnormal for the patient’s age.