Case Notes
History
21-year-old male in the emergency room following an altercation with possible orbital or other facial fractures.Exam
Prior Study
Dicom
Findings
| Facial and Scalp Soft Tissues and Airway | Correct Answer | Your Answer |
|---|---|---|
|
There is localized edema, hematoma or abscess within in the facial or scalp soft tissues, SMAS, infratemporal fossa, masticator space or oral cavity. |
Yes | NA |
|
There is evidence of gas or a foreign body at a possible fracture site, indicative of an open or penetrating injury. |
No | NA |
|
There is soft tissue swelling suggesting injury to the parotid or submandibular glands. |
No | NA |
|
The upper airway is significantly narrowed or obstructed. |
No | NA |
| Intracranial | Correct Answer | Your Answer |
|---|---|---|
|
There is subperiosteal, epidural or subdural hematoma and/or pneumocephalus along the boney walls of the anterior or middle cranial fossa or elsewhere. |
No | NA |
|
There is subarachnoid bleeding. |
No | NA |
|
There is evidence of parenchymal brain injury. |
No | NA |
| Orbits and Orbital Zygomatic Complex | Correct Answer | Your Answer |
|---|---|---|
|
The preseptal soft tissues including the lacrimal gland and sac are normal. |
No | NA |
|
There is evidence of a foreign body at the fracture site, indicative of penetrating injury. |
No | NA |
|
There is evidence of blood products in the paranasal sinuses. |
Yes | NA |
|
There is evidence of a subperiosteal hematoma along the medial or lateral wall, roof or floor of the orbit. |
No | NA |
|
The circumferential extraconal and the intraconal orbital fat are infiltrated. |
No | NA |
|
There is evidence of herniated intra-orbital fat. |
Yes | NA |
|
The extraocular muscles are swollen, infiltrated or herniated into a fracture site. |
Yes | NA |
|
The soft tissues of the orbital apex and the superior and inferior orbital fissures appear abnormal. |
No | NA |
|
The orbital veins appear abnormal. |
No | NA |
|
There is evidence of bony injury along the walls and/or floor of the orbit. |
Yes | NA |
|
The supraorbital and infraorbital rims and orbital process of the zygoma and/or frontozygomatic suture are fractured. |
No | NA |
|
There is bony injury of the orbital roof or related portions of the frontal bone. |
No | NA |
|
|
No | NA |
|
|
No | NA |
|
|
No | NA |
|
There is entrapment of the muscles of mastication by fractures of the coronoid process and/or zygomatic arch. |
No | NA |
| Central Skull Base | Correct Answer | Your Answer |
|---|---|---|
|
There is a fracture of the greater or lesser wing of the sphenoid bone or basisphenoid. |
No | NA |
| Eyes | Correct Answer | Your Answer |
|---|---|---|
|
Proptosis is present. |
No | NA |
|
The optic nerve has a stretched appearance. |
No | NA |
|
|
No | NA |
|
There are signs of a decompressed globe. |
No | NA |
|
The lens is not in normal position (on either side). |
No | NA |
|
There is evident general optic sheath swelling or swelling at the junction of the globe and sheath to suggest an optic sheath hematoma. |
No | NA |
|
There is evident subretinal, subchoroidal or intravitreous hemorrhage. |
No | NA |
| Nasolacrimal Canal and Sac | Correct Answer | Your Answer |
|---|---|---|
|
There is bony injury to the nasolacrimal canal. |
No | NA |
|
The nasolacrimal sac appears to be damaged. |
No | NA |
| Fronto-Naso-Ethmoidal Complex | Correct Answer | Your Answer |
|---|---|---|
|
The mesial naso-orbito-ethmoid complex is fractured. Specifically, there is bony injury of the nasal bones or the frontal process of the maxilla and the medial walls of the orbit are abnormal. |
Yes | NA |
|
The intercanthal distance is increased. |
No | NA |
|
There is injury of the ethmoid complex. Specifically, the ethmoid roof, olfactory fossa and the cribriform plate are fractured and/or significantly dehiscent. |
No | NA |
|
The frontal bone and frontal sinus inner and outer tables are fractured. |
No | NA |
| Midface Structures and Mandible | Correct Answer | Your Answer |
|---|---|---|
|
There is bony injury of the body, alveolar ridge, premaxilla, the infraorbital rim, the palatine or the frontal process of the maxillary bones on either side. |
No | NA |
|
The pterygoid processes of the sphenoid bone are fractured. |
No | NA |
|
There is bony injury or displacement of the body, angle, ramus, alveolar ridge, condylar coronoid process and parasymphyseal or symphyseal region of the mandible. |
No | NA |
| Cervical Spine | Correct Answer | Your Answer |
|---|---|---|
|
The visualized portions of the cervical spine are abnormal for the patient’s age. |
No | NA |
Impression
Expert Answer
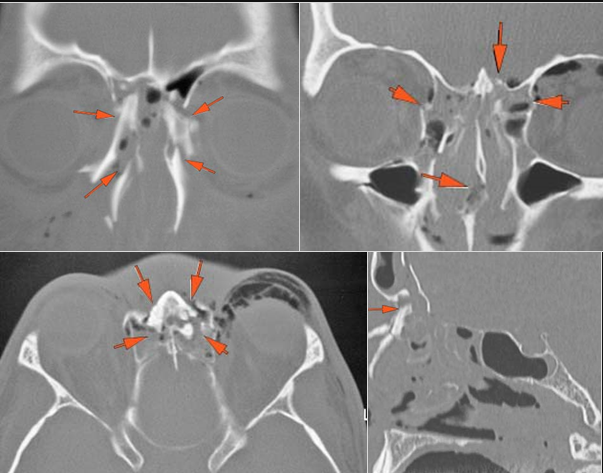
Orbital floor fracture on the left with significant entrapment of orbital fat and entrapment of the inferior rectus muscle in a likely trapdoor type mechanism and minimally displaced fractures of the medial orbital wall and nasal bones.
Your Answer
Recommendations & Acuity
Recommendations
Expert Answer
Contact ER providers verbally about the finding of likely “trapdoor” herniation of the inferior rectus muscle and strongly suggest the ophthalmology and facial trauma on call be consulted emergently with regard to this finding.
Your Answer
Acuity
Expert Answer
Urgent (Action Necessary in a few hours)