Section 1

Submit Findings

Case075

Findings

Facial and Scalp Soft Tissues and Airway

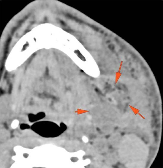
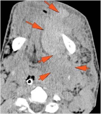
There is localized edema, hematoma or abscess within in the facial or scalp soft tissues, SMAS, infratemporal fossa, masticator space or oral cavity.

There is evidence of gas or a foreign body at a possible fracture site, indicative of an open or penetrating injury.

There is soft tissue swelling suggesting injury to the parotid or submandibular glands.

The upper airway is significantly narrowed or obstructed.

Mandible and Temporomandibular Joints

There is bony injury or displacement of the body, angle, ramus, parasymphyseal region, alveolar ridge, and condylar and coronoid process of the mandible. [In case of fracture, describe complexity and displacement].

There is entrapment of the muscles of mastication or other soft tissues by fractures of the coronoid process and/or zygomatic arch.

There is condylar fracture either within or outside of the joint capsule, or with or without involvement of the articular surface of the condylar head.

There is evidence of radiodense intra-articular osteochondral fragments.

There is bony injury or displacement of the external auditory canal and/or other evidence of temporal bone injury.

Dentition

There are dental fractures and/or missing or displaced teeth.

Midface Structures and Orbit

There is bony injury of the body, alveolar ridge, premaxilla, the infraorbital rim, the palatine or the frontal process of the maxillary bones on either side.

More specifically, there is bony injury of the medial wall or orbital floor, orbital - zygomatic complex and/or the fronto- naso-ethmoidal complex.

Intracranial

There is subperiosteal, epidural or subdural hematoma and/or pneumocephalus along the boney walls of the anterior or middle cranial fossa or elsewhere.

There is evidence of parenchymal brain injury .

Cervical Spine

The visualized portions of the cervical spine are abnormal for the patient’s age.