Case Notes
History
Elderly adult male with possible mandibular or other facial fractures due to craniofacial trauma.Exam
Prior Study
Dicom
Findings
| Facial and Scalp Soft Tissues and Airway | Correct Answer | Your Answer |
|---|---|---|
|
There is localized edema, hematoma or abscess within in the facial or scalp soft tissues, SMAS, infratemporal fossa, masticator space or oral cavity. |
Yes | NA |
|
There is evidence of gas or a foreign body at a possible fracture site, indicative of an open or penetrating injury. |
Yes | NA |
|
There is soft tissue swelling suggesting injury to the parotid or submandibular glands. |
Yes | NA |
|
The upper airway is significantly narrowed or obstructed. |
Yes | NA |
| Mandible and Temporomandibular Joints | Correct Answer | Your Answer |
|---|---|---|
|
There is bony injury or displacement of the body, angle, ramus, parasymphyseal region, alveolar ridge, and condylar and coronoid process of the mandible. [In case of fracture, describe complexity and displacement]. |
Yes | NA |
|
There is entrapment of the muscles of mastication or other soft tissues by fractures of the coronoid process and/or zygomatic arch. |
No | NA |
|
The condylar head and fossa as well as the temporomandibular joint space are fractured and/or dislocated. |
Yes | NA |
|
There is condylar fracture either within or outside of the joint capsule, or with or without involvement of the articular surface of the condylar head. |
Yes | NA |
|
There is evidence of radiodense intra-articular osteochondral fragments. |
No | NA |
|
There is bony injury or displacement of the external auditory canal and/or other evidence of temporal bone injury. |
No | NA |
| Dentition | Correct Answer | Your Answer |
|---|---|---|
|
There are dental fractures and/or missing or displaced teeth. |
No | NA |
| Midface Structures and Orbit | Correct Answer | Your Answer |
|---|---|---|
|
There is bony injury of the body, alveolar ridge, premaxilla, the infraorbital rim, the palatine or the frontal process of the maxillary bones on either side. |
No | NA |
|
More specifically, there is bony injury of the medial wall or orbital floor, orbital - zygomatic complex and/or the fronto- naso-ethmoidal complex. |
No | NA |
| Intracranial | Correct Answer | Your Answer |
|---|---|---|
|
There is subperiosteal, epidural or subdural hematoma and/or pneumocephalus along the boney walls of the anterior or middle cranial fossa or elsewhere. |
No | NA |
|
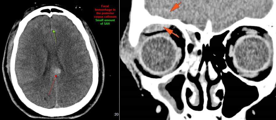
There is subarachnoid bleeding. |
No | NA |
|
There is evidence of parenchymal brain injury . |
No | NA |
| Cervical Spine | Correct Answer | Your Answer |
|---|---|---|
|
The visualized portions of the cervical spine are abnormal for the patient’s age. |
Yes | NA |
Impression
Expert Answer
Unstable upper cervical spine and possible craniocervical junction injury, possible vertebral artery injuries associated with a complex mandibular fracture/dislocation.
Your Answer
Recommendations & Acuity
Recommendations
Expert Answer
Cervical MRI to be done immediately and CT angiography of the neck considered.
Your Answer
Acuity
Expert Answer
Emergent (Action Necessary now)