Section 1

Submit Findings

Case059

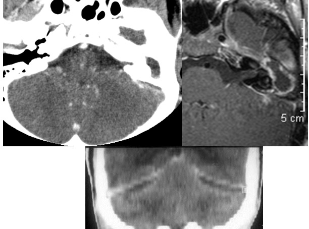
Findings

Extracranial Structures

There is edema%2fcellulitis surrounding the pinna, periauricular soft tissues, parotid gland or masticator and parapharyngeal spaces on either side. 

Right Temporal Bone

 External auditory canal is abnormal. 

There is a subperiosteal abscess along the outer margin of the mastoid portion of the temporal bone.

There is dural reactive changesubperiosteal, epidural or subdural abscess long the roof of the mastoid or middle ear or the surfaces of the petrous portion of the temporal bone. 

The ossicles; in particular the incus long process, the incudostapedial joint and stapes are eroded or displaced.

The facial canal and nerve are abnormal.

The petrous apex is abnormal.

The inner ear, in particular the lateral semicircular canal and the cochlea are eroded or otherwise abnormal. 

Left Temporal Bone

 External auditory canal is abnormal. 

There is a subperiosteal abscess along the outer margin of the mastoid portion of the temporal bone. 

There is dural reactive changesubperiosteal, epidural or subdural abscess along the roof of the mastoid or middle ear or the surfaces of the petrous portion of the temporal bone. 

The ossicles; in particular the incus long process, the incudostapedial joint and stapes are eroded or displaced.

The facial canal and nerve are abnormal.

The petrous apex is abnormal.

The inner ear, in particular the lateral semicircular canal and the cochlea are eroded or otherwise abnormal. 

Intracranial

There is gas in the subarachnoid space or otherwise intracranial.

There is evidence of thrombosis, thrombophlebitis or other occlusive or inflammatory process of the sigmoid sinus, transverse sinus, the vein of Labbe’ or jugular bulb

There is evidence of thrombosis, thrombophlebitis or other occlusive or inflammatory process of jugular vein.

There is dural reactive change along the floor of the middle cranial fossa or along the inner surfaces of the petrous portion of the temporal bone. 

There is a subperiosteal, subdural or epidural abscess along the floor of the middle cranial fossa or along the inner surfaces of the petrous portion of the temporal bone. 

There is likely meningitis involving the inferior temporal lobe or adjacent cerebellum

There is likely cerebritis involving the inferior temporal lobe or adjacent cerebellum.

There is brain edema and/or evolving abscess present or, specifically, involving the inferior temporal lobe or adjacent cerebellum.

There is obstructive hydrocephalus - either intra or extra ventricular or signs of raised intracranial pressure.