Accredited Case Practice Set

Brain Infections 04

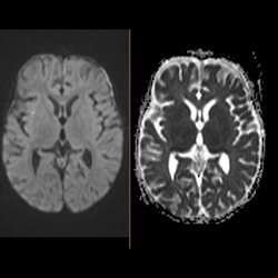
6 yo male presenting with fever, right preseptal cellulitis, then a seizure. MR

Progress
0/5
Accredited-Case Practices Completed
Claim CME Credit

2.5 CME Credits available on completion

Learn more about CME