Accredited Case Practice Set

Brain Infections 03

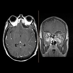
30 yo male presenting with fever and sinusitis initially then depressed level of consciousness. MR and CT

Progress
0/5
Accredited-Case Practices Completed
Claim CME Credit

2.5 CME Credits available on completion

Learn more about CME