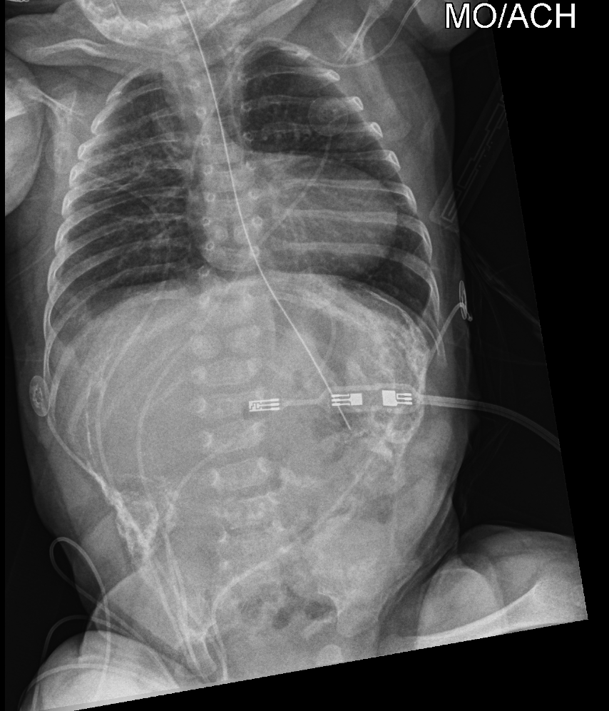
Info Images Findings Impression Reco/Acuity Case Images View Images / Launch Visage Case Notes History 2 month old suspected of being a victim of physical child abuse. No history of trauma, patient presents with subdural hematoma and rib fractures. Exam Skeletal survey Prior Study none Dicom View Reference Material
Section 1 Submit Findings CB1546 Findings Skeletal Survey - Technique Check Skull AP/Lat Yes No Cervical and Thoracolumbar spine Yes No Chest X-Ray Yes No Ribs – Left/Right Oblique Yes No Abdominal X-Ray Yes No Pelvis with both hips Yes No Bilateral Humerus, Forearm, Hand Yes No Bilateral Femur, Tibia/fibula, feet Yes No Any additional lateral views of the extremities Yes No The exam is over or under penetrated. Yes No The exam may or may not be limited by overlying structures or soft tissues, body habitus, patient positioning, support devices, or motion. Yes No The area of concern is indicated by the patient, technologist, or care provider. Yes No The area of concern is included on the exam. Yes No Soft Tissues There is soft tissue swelling, indistinctness of fat/muscle planes, gas, or laceration in the area of clinical concern. Yes No There is an effusion, fat pad displacement, or fat fluid level. Yes No There is a radiodense or lucent foreign body. Yes No There are other densities, calcifications, post-surgical changes, or support devices in the soft tissues. Yes No Any support lines/tubes. Yes No Bone There is a break or interruption of the continuity of the cortical or cancellous bone. Yes No There is overriding of the trabeculae with apparent sclerosis. Yes No There is displacement of a fracture fragment. Yes No There is bowing of the bone in addition to the fracture at the apex of the bowed bone concerning for the greenstick. Yes No There is a spiral fracture of the leg concerning for toddler’s fracture. Yes No There is abnormal angulation or bulging of the cortical surface relative to the normal cortex which could be from a buckle or torus fracture. Yes No There is a displaced fragment which may be from avulsion by a tendon, ligament, or joint capsule or from a comminuted or other fracture. Yes No The stress trabeculae or other trabeculae of the cancellous bone are interrupted or otherwise abnormal. Yes No There is subperiosteal or endosteal reaction which could indicate a healing or subacute fracture or other abnormality. Yes No There is hard/soft callus formation. Yes No There is remodeling of the bone. Yes No There is a corner fracture or metaphyseal lesion that could be from nonaccidental trauma. Yes No There are multiple fractures of different ages. Yes No There are vertebral body/spinous process fractures. Yes No There are rib fractures. Location - posterior or lateral. Yes No There is scapular/sternal fracture. Yes No There are fractures of the digits. Yes No There are wormian bones. Yes No There are intrasutural bones. Yes No There is metaphyseal abnormality (lucencies, increased density, erosion) which may be from something other than injury such as stress, metabolic disease (e.g. rickets with loss or distortion of the zone of the provisional calcification), neoplasm (e.g. leukemia), heavy metals, inflammation, or infection. Yes No There are metaphyseal spurs. Yes No There are bony deformities involving multiple bones. Yes No The bones are gracile. Yes No There are non-healing fractures. Yes No There is/are focal or multifocal lytic/lucent, blastic/sclerotic or mixed density lesion(s) or other abnormality. Yes No Overall bone density is increased or decreased with or without thinning or thickening of the cortical or cancellous bone. Yes No Growth plates, ossification centers, apophyses The growth plate(s) is/are abnormal. Yes No There is widening of the physis from a fracture with or without displacement of the epiphysis (Salter-Harris I). Yes No There is a fracture through the physis which then extends into the metaphysis with or without angulation or displacement (S-H II) Yes No There is a fracture through the physis which then extends into the epiphysis and is intra-articular, with or without angulation or displacement (S-H III). Yes No There is a fracture through the metaphysis, physis, and epiphysis which extends into the joint space with or without angulation or displacement (S-H IV) Yes No There is narrowing of the physis from a compression fracture (S-H V). Yes No The apophysis, epicondyle, secondary ossification center, or accessory ossicle is displaced or otherwise abnormal. Yes No NA The ossification centers are underdeveloped. Yes No Joints and alignment There is an effusion, fat pad displacement, or fat fluid level. Yes No The epiphysis or subchondral bone is fractured, interrupted, flattened, compressed, impacted, displaced, or otherwise abnormal. Yes No There is an intra-articular loose body or chondrocalcinosis. Yes No The joint is widened, narrowed, dislocated, malaligned, or incongruent. Yes No There is pseudoarthrosis. Yes No Other findings There are developmental changes or other anatomic variants or other existing conditions that may or may not be contributing to symptoms which can or should be further evaluated non-emergently or are otherwise incidental. Yes No The remainder of the exam is abnormal for age. Yes No The lungs show focal airspace opacity. Yes No There is pneumothorax. Yes No There is organomegaly. Yes No There is intra-abdominal calcification. Yes No There is displacement of the bowel loops. Yes No There is free intraperitoneal air. Yes No There is paraspinal soft tissue abnormality. Yes No The bowel loops are dilated/obstructed. Yes No